
MEIO AMBIENTE
abril 30, 2020
MEIO AMBIENTE
abril 30, 2020MEDICINA E CIÊNCIAS
Soluções de Visão Computacional para Medicina e Ciências.
Na COMPUVIS, estamos na vanguarda da inovação em Saúde, Pesquisa e Desenvolvimento, desenvolvendo soluções avançadas de visão computacional que transformam o cuidado médico. Nossos sistemas integram inteligência artificial e processamento de imagens para proporcionar diagnósticos precisos, monitoramento contínuo, assistência cirúrgica e muito mais. Com tecnologia de ponta, nossa missão é melhorar a eficiência e a eficácia dos serviços de saúde, proporcionando melhores resultados para os pacientes e facilitando o trabalho dos profissionais de saúde.
Nossos sistemas integram inteligência artificial e processamento de imagens para proporcionar diagnósticos precisos, monitoramento contínuo, assistência cirúrgica e muito mais.
Monitoramento de Pacientes
Nossas soluções de visão computacional permitem o monitoramento remoto de pacientes, analisando dados visuais em tempo real para acompanhar sinais vitais e detectar alterações críticas. Esta tecnologia proporciona uma supervisão constante, garantindo respostas rápidas e precisas em situações de emergência.
Análise de Imagens Médicas
A análise avançada de imagens médicas com nossos algoritmos de visão computacional auxilia os profissionais de saúde na interpretação precisa de exames como raios-X, ressonâncias magnéticas e tomografias. Isso permite diagnósticos mais rápidos e precisos, além de facilitar a detecção precoce de doenças.
Imagens Interativas em 3D
Transformamos imagens 2D de exames em modelos interativos 3D, melhorando a visualização e compreensão de estruturas internas do corpo. Esta tecnologia é especialmente útil em planejamento cirúrgico e educação médica, proporcionando uma visão detalhada e interativa dos órgãos e tecidos.
Assistência Cirúrgica
Utilizamos visão computacional combinada com realidade aumentada para fornecer assistência em tempo real durante procedimentos cirúrgicos. Nossos sistemas ajudam os cirurgiões a obter direções precisas e visualizações detalhadas, aumentando a precisão e a segurança das operações.
Detecção Precoce de Doenças
Implementamos tecnologias de visão computacional para a detecção precoce de diversas doenças, incluindo câncer e outras condições graves. Ao analisar imagens médicas com precisão, nossos sistemas ajudam a identificar anomalias em estágios iniciais, aumentando as chances de sucesso no tratamento.
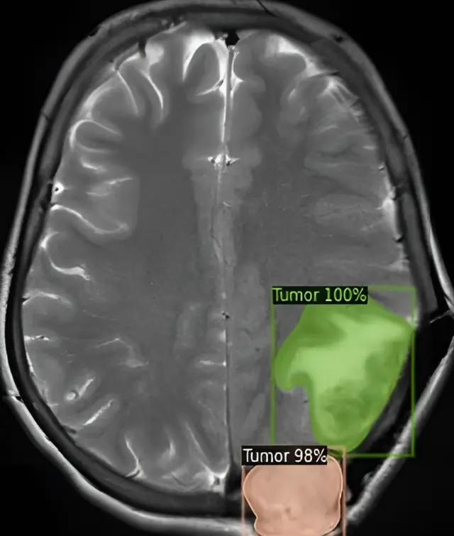
Detecção de Tumores
Nossos algoritmos de visão computacional são projetados para detectar tumores em imagens médicas com alta precisão. Essa tecnologia é crucial para a identificação precoce de tumores cerebrais, pulmonares e outros tipos, permitindo intervenções rápidas e eficazes.
Gestão de Medicação
Através da visão computacional, oferecemos soluções para o gerenciamento eficiente de medicação. Nossos sistemas identificam e verificam medicamentos, assegurando a administração correta e segura, reduzindo erros e melhorando a segurança do paciente.
Pesquisa Médica
As soluções de visão computacional da COMPUVIS auxiliam na pesquisa médica, analisando grandes volumes de dados de imagens e identificando padrões e correlações que podem acelerar descobertas científicas e desenvolvimento de novos tratamentos.
Treinamento e Educação Médica
Nossas tecnologias de visão computacional são usadas para aprimorar o treinamento de habilidades médicas, proporcionando simulações realistas e interativas. Isso melhora a formação de novos profissionais de saúde e a capacitação contínua dos existentes.
Scans de Retina
Utilizamos visão computacional para analisar scans de retina, detectando mudanças estruturais precoces que podem indicar problemas de saúde ocular ou sistêmica. Essa tecnologia ajuda na prevenção e tratamento eficaz de doenças oculares.
Robótica Cirúrgica
A COMPUVIS oferece soluções de visão computacional para robótica cirúrgica, permitindo procedimentos mais precisos e minimamente invasivos. Nossos sistemas assistem cirurgiões com visualizações detalhadas e controle aprimorado dos instrumentos robóticos.
Aumento da Eficiência dos Procedimentos Médicos
Nossas tecnologias melhoram a eficiência dos procedimentos médicos, desde diagnósticos até tratamentos, reduzindo tempo e custos, enquanto aumentam a precisão e a segurança. Isso resulta em melhores resultados para os pacientes e maior eficiência para as instituições de saúde.
Explore as soluções de visão computacional da COMPUVIS e descubra como podemos transformar a medicina e a saúde com tecnologia de ponta. Entre em contato conosco para saber mais sobre nossos serviços personalizados e como podemos atender às suas necessidades específicas.



